사랑니, 한쪽만 빼면 안면 비대칭이 될까요?
사랑니를 한쪽만 빼신 분들이 많이 궁금해 하시는 부분인데요, 오늘은 4년 전 왼쪽만 위아래 사랑니를 빼고 지내온 제 이야기를 바탕으로 사랑니를 한쪽만 뺐을 때 안면 비대칭이 되는지, 안면 비대칭이 되지 않으려면 어떻게 예방해야 하는지에 대한 내용을 다뤄보겠습니다.

사랑니, 한쪽만 빼도 안면 비대칭 안 된다던데요?
정말일까요?
사랑니 한쪽만 빼면 안면 비대칭 될까?
제가 겪은 것들을 공유합니다.
위의 목차를 클릭하면 해당 글로 자동 이동 합니다.
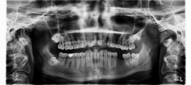
1. 사랑니란?
사랑니는 일반적으로 17세에서 25세 사이에 나는 마지막 어금니입니다. 보통 위쪽과 아래쪽 각각 두 개씩 총 네 개가 있습니다. 하지만 사람에 따라 턱 공간이 부족하여 나지 않거나, 매복(치아가 잇몸 안에서 자라난 것)되어 날 수도 있습니다.

2. 사랑니 발치의 필요성
사랑니가 문제를 일으키는 경우는 여러가지인데요, 이가 삐뚤게 나거나, 주위 치아에 압력을 가해 통증을 유발하는 경우, 잘 닦이지 않기 때문에 발생하는 충치 등이 생겼을 때 등입니다. 이런 문제들을 해결하기 위해 사랑니는 발치하는 것이 좋습니다. 이 글을 보시는 분들은 사랑니를 한쪽만 뺐을 때의 문제점에 대해서 궁금하시겠죠? 아래로 가보시죠.

3. 사랑니를 한쪽만 빼면 생기는 문제들
많은 사람들이 사랑니를 한쪽만 발치하는 경우가 있습니다. 이런 상황에 대부분의 사람들이 한쪽만 빼면 얼굴의 좌우 대칭이 어긋나서 안면 비대칭이 올 수 있지 않을까? 걱정을 할 것입니다. 4년 전에 저도 그런 걱정을 했습니다. 네이버 지식인 등에 물어보면 치과 전문의들은 사랑니를 한쪽만 뺀다고 안면 비대칭이 오지는 않는다고 답변을 해주는데요, 왼쪽 사랑니만 위, 아래로 빼고 4년을 지낸 후 제 경험으로는 안면 비대칭이 생겼습니다.


비포 사진은 양쪽 사랑니 발치 전, 애프터 사진은 왼쪽 위, 아래 2개의 사랑니를 발치하고 4년 후입니다. 확연히 오른쪽 볼이 커진 것을 느끼실 수 있겠죠? 물론 약간 살이 찌기도 했지만 오른쪽이 왼쪽에 비해 확연하게 통통한 것을 한눈에 알 수 있습니다.
물론 사랑니를 한쪽만 뺀다고 턱의 비대칭이 일어나서 안면 비대칭이 금방 오는 것은 아닙니다. 여기까지는 의사 선생님들 말씀이 맞겠지요. 하지만 제 경험상 한쪽만 사랑니를 뺐을 때 뺀 쪽으로 대부분의 음식을 섭취하게 됩니다. 왜냐하면 사랑니를 뺀 쪽이 공간도 더 넓고, 맛도 더 잘 느껴지고, 씹기에 편리하다고 느껴지기 때문에 무의식적으로 그런 습관을 가지게 됩니다.
그래서 저도 모르게 사랑니가 없는 쪽으로 주로 씹는 행동을 더 많이 하게 되어 얼굴의 근육과 움직임이 한쪽으로만 활성화되게 되는 것이죠. 한쪽만 뺐는데 양쪽으로 동일하게 잘 씹어준다면 상관이 없겠지만 그게 쉽지는 않을 것 같습니다. 확실하게 사랑니가 있는 쪽은 비교적 불편함이 있기 때문입니다.
안면 비대칭은 하루아침에 오는 것이 아닙니다.
제가 안면 비대칭이 생겼다는 것을 알아차린 것도 무려 왼쪽 사랑니를 발치한 후 4년이 지난 날, 어느 결혼식에서 무심코 찍힌 사진 때문이었습니다. 제 왼쪽 볼은 홀쭉하고 오른쪽 볼은 통통해서 딱 봐도 '이사람 안면 비대칭이 있는 사람이구나' 생각이 들 수 있는 얼굴이었습니다.
4. 사랑니를 한쪽만 빼고도 안면 비대칭이 생기지 않으려면? (예방법)
가. 양쪽 모두 발치하기!
무조건 양쪽 모두 발치하시는 것을 추천드립니다. 몇 주 정도의 텀은 상관 없습니다. 몇 달까지도 안면 비대칭이 오지는 않을 것 같지만 일년, 이년이 되도록 방치하지는 마십시오. 저처럼 후회하는 일이 생기지 않도록 이를 빼는 공포에 지지 마시기 바랍니다. 이를 빼는 고통보다 비대칭을 알아차렸을 때의 심리적은 고통이 훨씬 더 크다는 것을 미리 알고 계시면 좋겠습니다.
나. 전문가 상담 받기
혹시라도 볼살이 너무 없어서 예쁘게 난 사랑니만이라도 보전하고 싶거나, 나중에 스페어의 용도로 사랑니를 쓸 수 있지 않을까 하는 아쉬움이 있는 분들은 치과 전문의에게 어떻게 하면 좋을지 상담을 받아보시는 것을 추천드립니다. 제가 어제 받은 상담에서는 제 사랑니가 오른쪽 위아래에 모두 곧게 예쁘게 나 있지만, 안쪽이 잘 닦이지 않아 약간의 충치가 발생하려고 하고 있고, 어쨌든 나중에는 발치하는 게 좋다고 하시면서 발치를 권유하셨습니다.
저는 오른쪽 얼굴이 더이상 커지는 것을 원치 않아서 바로 발치를 진행하였습니다. 사실 제가 4년 전 교정할 때 왼쪽은 매복 사랑니라 뽑더라도 오른쪽은 잘 난 사랑니니까 보전하고 싶다고 고집을 부린 거였는데 지금 돌아보면 아주 후회되는 선택이었다고 생각합니다.
다. 의식적으로 양쪽 모두 활용하여 씹고, 좌우 대칭 주기적으로 신경쓰기, 치과 정기검진
정말 정말 한쪽은 빼기 싫다 하시는 분들은 의식적으로 양쪽을 모두 활용하여 음식을 씹으셔야 합니다. 그리고 매일 거울을 보면서 웃을 때 양쪽 입꼬리가 동일하게 올라가는지 체크하고(보정 없는 셀카 추천), 치과 정기검진도 필수입니다.
안면 비대칭은 조금씩 생기는 것이라서 방심하면 이미 생겨 있을 수가 있습니다. 저는 후회하는 점이 왼쪽으로만 씹는 습관이 생긴 것을 알아차리고도 오른쪽으로 씹는 것이 불편해서 계속 왼쪽으로 씹는 습관을 유지했다는 것입니다.
사랑니 발치, 한쪽만 해도 될까 고민되셔서 이 글을 읽고 계시는 분들께 알려드리고 싶은 점은 한쪽만 빼면 약간이라도 안면에 비대칭이 올 확률이 높다는 것입니다.
저처럼 사랑니 빼는 게 무서워서 한쪽만 빼고 한쪽을 두고 싶으신 분이 계시다면, 그냥 눈 질끈 감고 마취를 잘한다고 소문난 치과에 방문하셔서 나머지 한쪽 마저 모두 발치하시기를 권해드립니다.
저처럼 지식인을 너무 믿지 마시고, 발치를 무서워하지 마세요. 안면 비대칭이 온 본인의 모습이 더 무서울 것입니다. 너무 겁을 드렸나요? 제가 한쪽만 발치한 과거에 너무 후회되는 마음에 글의 어투를 강하게 써봅니다. 모두 신중한 선택을 하셔서 예쁜 얼굴 지키셨으면 좋겠습니다!
추천글
2024.10.05 - [건강관리] - 일반 사랑니 발치 후기(매복 X, 준비사항, 과정, 통증, 비용 총정리)
일반 사랑니 발치 후기(매복 X, 준비사항, 과정, 통증, 비용 총정리)
오늘은 제가 최근에 경험한 일반 사랑니 발치에 대한 후기를 공유해 보려고 합니다. 사랑니는 정말 많은 사람들이 겪는 고민거리일텐데요, 많은 분들이 매복 사랑니로 걱정과 고민을 더 많이 하
jj-future.com
'건강관리' 카테고리의 다른 글
| 눈 실핏줄 터짐 원인 및 치료 방법(경험담 공유) (0) | 2025.03.18 |
|---|---|
| 일반 사랑니 발치 후기(매복 X, 준비사항, 과정, 통증, 비용 총정리) (0) | 2024.10.05 |
| 검진 결과 '반응성 세포변화', 자궁경부암 위험성은? (0) | 2024.09.06 |
| 과민성대장증후군의 원인과 증상, 생활 가이드 정리 (0) | 2023.08.20 |
| 입냄새 제거 방법(양치 꿀팁) (1) | 2023.08.09 |