오늘은 제가 최근에 경험한 일반 사랑니 발치에 대한 후기를 공유해 보려고 합니다. 사랑니는 정말 많은 사람들이 겪는 고민거리일텐데요, 많은 분들이 매복 사랑니로 걱정과 고민을 더 많이 하셔서 그런지 일반 사랑니 발치 후기는 많지 않았어서 저의 경험과 과정을 자세히 말씀드리려고 합니다.

저의 경우에는 왼쪽 위, 아래 사랑니를 빼고 4년이 지난 최근에 오른쪽 위, 아래 사랑니를 발치한 케이스로 발치 이유는 아래 글에 상세하게 작성해 두었습니다. 사랑니 발치와 안면 비대칭의 관계가 궁금하신 분은 아래 링크 클릭하여 읽어주시면 감사하겠습니다.
매복 사랑니 아닌 일반 사랑니 발치 후기
일반 사랑니 발치 후기
위의 목차를 클릭하면 해당 글로 자동 이동 합니다.
1. 사랑니 발치 전 준비사항
가. 마취 잘 하는 치과 선택
사랑니 발치 전 준비사항 중 가장 중요한 것은 마음의 준비와 동시에 마취를 잘 하는 병원을 미리 알아보는 것이라고 생각합니다.
저는 동네 치과의 후기를 꼼꼼히 분석하여 '마취할 때 하나도 안 아팠다.', '마취를 잘해주셔서 치료 중 통증이 없었다.'는 마취에 대한 긍정적인 후기가 많은 병원을 찾았습니다. 왜냐하면 이전 치과 치료 경험으로 인해 치과마다 마취 주사를 놓기 전 도포하는 마취의 정도가 다르다는 것을 알게 되었고, 도포하는 마취를 약하게 했을 경우, 마취주사의 통증을 오롯이 소름끼치게 느껴야 한다는 것이 가장 무서웠기 때문입니다. 결과적으로 마취를 잘 하는 병원을 찾아간 것을 정말 잘한 일이라고 생각합니다. 도포 마취부터 강하게 해주셔서 주사의 뻐근함은 아주 조금밖에 느껴지지 않았고, 발치를 수월하게 할 수 있었거든요. 마취 관련 후기를 보시고 치과 선택하시는 것을 추천드립니다.

나. 립글로즈 미리 바르기
립글로즈를 촉촉하게 바르는 것을 추천드립니다.
사랑니는 뿌리가 워낙 강하게 박혀있기 때문에 발치하는 데 시간이 다소 걸립니다. 오랜 시간 입을 벌리고 있으면 입이 마르고, 잘못하면 입술이 조금 찢어지면서 고통스럽기 때문에 미리 립글로즈를 적당히 바르고 들어가시는 것을 추천드립니다.
다. 귀금속(귀걸이, 목걸이) 빼고 가기
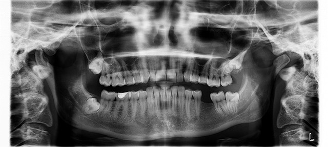
사랑니 발치의 경우, 의사 선생님께서 미리 사랑니의 뿌리가 나있는 모양 등을 봐야 하기 때문에 엑스레이 촬영이 필수입니다. 엑스레이를 찍기 전에 착용하고 온 귀걸이와 목걸이를 빼고 대기해달라고 하시는데요, 비싼 귀금속을 치과에서 허둥지둥 빼고 보관하다가 자칫하면 잃어버릴 수도 있으니 집에서 미리 빼고 가시는 것을 추천드립니다.
2. 사랑니 발치 과정
- 치과에 도착하면 가장 먼저 고혈압이나 당뇨 등 기저질환이 있는지 물어보고 엑스레이를 찍습니다.
- 엑스레이 결과가 나오면 의자에 앉아 사진을 같이 보면서 현재 상태와 발치 과정에 대한 설명을 듣습니다.
- 그리고 나서 마취 주사를 놓기 전 도포하는 마취제를 입 안에 뿌립니다.
- 5~10분 정도 방치한 후 마취주사를 놓습니다. 저의 경우 위, 아래 2개의 사랑니를 한번에 발치하는 것이라서 3방 정도 맞았습니다. 입천장에 맞을 때는 좀 더 뻐근했습니다.
- 주사를 맞은 후 10분 정도 있다가 이를 흔들어 보고 마취가 잘 되었는지 확인합니다.
- 발치를 시작합니다. 마취가 되어 통증은 없지만 의사 선생님이 힘주어서 이를 빼는 것이 온전히 느껴집니다.
- 아랫니는 쉽게 빠졌지만 윗니는 중간에 한번 부러져서, 선생님께서 오랜 시간 애먹으셨고 저도 머리가 기울어질 정도로 압력을 받으면서 이가 빠지려고 우드득 하는 소리를 듣는 게 몹시 고통스러웠습니다.
- 이를 발치한 후에 지혈제(보험 X, 이 1개당 15,000원)를 넣어줍니다. (사실 잘 모르겠지만 넣어주셨겠죠?)
- 솜을 잔뜩 물려주시면 끝!, 추후 며칠간 지켜야 할 주의사항을 안내받습니다.

3. 사랑니 발치 비용 및 통증
사랑니 발치 비용, 얼마 정도일 거라고 예상하시나요?
저는 4년 전에 1만원이 안 되는 비용으로 1개의 사랑니를 발치한 적이 있어서 2개에 2만원 정도 나오겠거니 생각을 했는데요, 반강제적으로 넣어주신 지혈제로 인해서 3만원이 추가되어 총 5만5천원의 비용이 들었습니다.
지혈제에 대한 설명은 잘 해주시지도 않았고, 사실 넣어주신 건지도 잘 모르겠는데 마취제 도포 후에 지혈제 3만원 추가된다면서 싸인을 하라고 하시더라고요. 울며 겨자먹기로 동의했지만 지혈에 도움이 되었겠지 생각하려고 합니다. 미리 알고 가시면 좋을 것 같습니다.
보통 사랑니를 발치하면 지혈이 되기까지 3시간이 걸린다고 합니다. 저도 3시간 후쯤 지혈이 되었고 마취가 풀리는 느낌이 들기 시작했습니다. 처음에는 마취가 강하여 인중과 턱쪽 겉 피부까지 감각이 없었는데요, 3~4시간이 지나자 점점 감각이 돌아오고 욱씬거리려는 느낌이 들려고 해서 처방약을 바로 섭취해 주었습니다. 거즈는 중간에 한번 교체해 주었는데, 피가 생각보다 많이 나서 입 안을 쳐다보기가 조금 무서웠습니다. 처방약 3일치를 주시는데 거르지 말고 꼬박꼬박 먹어야 진통제로 인해 진통도 덜 느낄 수 있고, 세균 감염도 예방할 수 있습니다.
추천글
[사랑니 발치 후 주의사항]
'건강관리' 카테고리의 다른 글
| 눈 실핏줄 터짐 원인 및 치료 방법(경험담 공유) (0) | 2025.03.18 |
|---|---|
| 사랑니, 한쪽만 빼면 안면 비대칭 될까? (경험자 안면 사진 공유) (2) | 2024.10.03 |
| 검진 결과 '반응성 세포변화', 자궁경부암 위험성은? (0) | 2024.09.06 |
| 과민성대장증후군의 원인과 증상, 생활 가이드 정리 (0) | 2023.08.20 |
| 입냄새 제거 방법(양치 꿀팁) (1) | 2023.08.09 |